Contact Us
All Dental Treatment Before & After - Inci Dis Dental Clinic

Before & After

Laminate Veneers Before and After - Inci Dis Dental Clinic Turkey
Laminate Veneers Before and After - Inci Dis Dental Clinic Turkey

8 laminate veneers, 6 implants with 6 zirconium crowns and whitening in 1 visit. Came from UK.

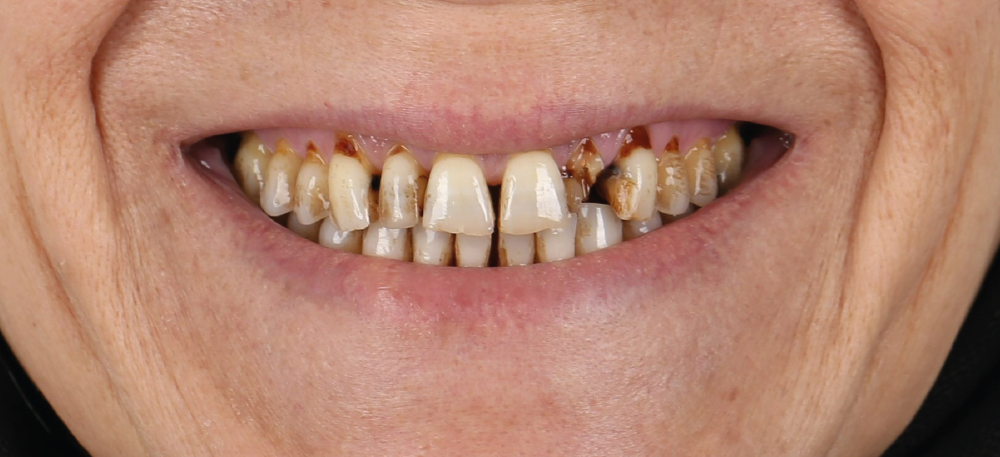
Dental İmplants Before and After - Inci Dis Dental Clinic Istanbul Turkey
Dental İmplants Before and After - Inci Dis Dental Clinic Istanbul Turkey

12 implants with 28 zirconium crowns in 2 visits. Came from UK.

28 zirconium crowns and 2 root canal treatments in 1 visit. Came from Romania.

Zirconia Crown Before and After - Inci Dis Dental Clinic Istanbul Turkey - 3
Zirconia Crown Before and After - Inci Dis Dental Clinic Istanbul Turkey - 3

28 zirconium crowns and 2 root canal treatments in 1 visit. Came from Belgium.

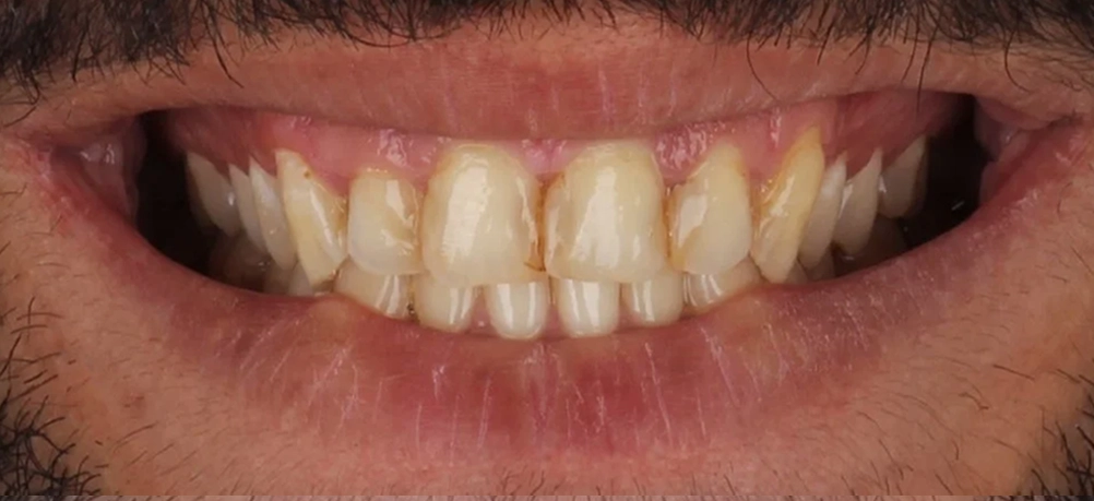
Dental İmplants Before and After - Inci Dis Dental Clinic Istanbul Turkey - 2
Dental İmplants Before and After - Inci Dis Dental Clinic Istanbul Turkey - 2

12 implants with 24 zirconium crowns in 2 visits. Came from France.

Esthetic Fillings Before and After - Inci Dis Dental Clinic Istanbul Turkey
Esthetic Fillings Before and After - Inci Dis Dental Clinic Istanbul Turkey

4 esthetic fillings and whitening in 1 visit. Came from UK.

28 zirconium crowns and 2 extractions in 1 visit. Came from UK.

Zirconia Crown & Root Canal Before and After - Inci Dis

28 zirconium crowns with 5 root canal treatments and 1 extraction in 1 visit. Came from UK.

Zirconia Crown & Root Canal Before and After - Inci Dis - 1
Zirconia Crown & Root Canal Before and After - Inci Dis - 1

24 zirconium crowns and 3 root canal treatments in 1 visit. Came from Romania.

Zirconia Crown Before and After - Inci Dis Dental Clinic Turkey
Zirconia Crown Before and After - Inci Dis Dental Clinic Turkey

28 zirconium crowns with gingivectomy and 2 root canal treatments in 1 visit. Came from UK

28 zirconium crowns and 2 root canal treatments were applied.

20 laminate veneer treatments were applied.

12 implants and 24 zirconium coating treatments were applied.

24 zirconium crowns and 3 root canal treatments were applied.

24 zirconium crowns and 2 root canal treatments were applied.

6 members composite filling, 10 members laminated and whitening

4 member composite laminating and whitening

Smile design was applied.

12 implants and 24 members monolithic zirconium

1 implant 11 members monolithic zirconium and whitening

ONLINE CONSULTATION

Free Consultation